【論説】コロナ肺炎の呼吸生理と呼吸困難のメカニズム1-2)
ジェックス理事長 髙階經和
Ⅰ: 肺胞での換気とは「O2とCO2とのガス交換」
肺の呼吸生理機能は一回息を吸い込むと500mlの空気(換気量)を取り込みます。空気中の酸素濃度は1/5の約20vol%です。一回呼吸すると動脈血は体内の組織に酸素を供給し、4vol%を消費して再び肺に帰ってきます。つまり血液は5回循環すると酸素ガスはなくなりますが、そうならないよう心臓が5回拍動する毎に、肺が1回呼吸することで心肺機能が維持されているわけです。
さらに詳しく説明しますと、吸気時に体内に取り込まれた空気は、動脈血となり体内の各組織へ運ばれます。酸素分圧は(Pao2 :95mmHg)で、パルスオキシメータはこれを表示したもので正常値は94vol.% 以上です。酸素は組織の新陳代謝には必要なO2ガスを毛細血管で放出し、組織で作られたCO2ガスを静脈側の毛細管に取り込み、静脈血として右心房に還ってきます。呼気時には肺胞でガス交換された換気量(350ml)となります。理由は500mlの空気を吸い込んでも実際には肋骨や胸郭があり、解剖学的にそれ以上、減少しないため、500ml-350ml=150mlとなり「死腔換気」と呼ばれます。炭酸ガス分圧は(Pvco2:40mmHg)となります。
![]() |
![]() |
この様に正常状態では、動脈血(赤い血液)はO2を身体のあらゆる組織に運びO2を放出し、組織で作られたCO2を含んだ静脈血(赤黒い血液)は、毛細管・静脈・大静脈を通り右心房へ還ってくるのです。そして肺で再び新鮮な動脈血になります。つまり肺の機能は、静脈血を動脈血に再生する役割を行っているのです。
II:コロナ肺炎による呼吸困難のメカニズムZ
今日の様にコロナ感染が全世界に蔓延し、人類の脅威となっていますが、その原因は細胞内(肺胞)の病変:肺炎、細胞外(肺間質)の病変と肺胞・毛細管ガス交換障害が同時に起こるため、肺はガス交換機能を失い、心肺不全の長期化による様々な症状が現れます。私たちは「ウイルス感染とは細胞内に直接感染を起こし、その機能を破壊する」ものであること知る必要があります。
一般にPCR検査(Polymerase chain reaction)が行われていますが、これはウイルスが感染したかどうかを調べる(ウイルスの遺伝子を専用の薬液を用いて増幅させて検出する)鋭敏な検査です。感染者数を知る前にコロナ肺炎による症状を知ることがとても大切です。発熱、全身倦怠感、呼吸困難、気道閉鎖、低酸素血症に伴う脳機能障害、心不全症状、思考異常・精神錯乱、糖尿病などの代謝性疾患の増悪などです。稀に見られるワクチン接種後の副反応も、それに類似した症状です。
コロナ・ウイルスは単なるインフルエンザの様なものではなく、極めて感染力が高く生命に危険を及ぼす肺炎であり、ワクチン接種後も再感染のリスクがあり、家庭内感染を予防するため「3蜜」を避け、マスクの着用、ドア、トイレや洗面所の消毒、大声の会話、旅行、集会、会食、人流を控えることが最重要です。予防接種も有効ですが、何よりもコロナ禍を収束させるため、更に有効な治療薬の開発が喫緊の課題です。

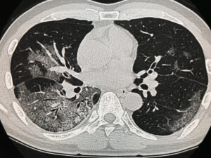
典型的な「COVID-19」のCTスキャン像…これは肺炎にかかった部分が、丁度「メロンの表皮」パターンの様になっているところから「Crazy paving pattern」と呼ばれているようです。
参考文献:
- 1)岡安大仁、髙階經和、日野原重明、阿部正和、濱口勝彦、「バイタルサイン」第1版、23刷(医学書院):2002.
2)Horwitz,LD, Groves,BM. Signs & Symptoms in Cardiology, Lippincott: 1985.



