心電図データベース
問題
生来健康であったが、約1か月前に会社でデスクワーク中に約十秒の意識消失発作を生じた。
その後も計3回の意識消失発作があり、当院に来院した。投薬歴はなく、突然死の家族歴もない。
図1

解答と解説
心電図診断:
安静時の12誘導心電図(図1 問題の心電図)はV1誘導でrSR´と陰性T波、V5〜6で幅広いS波示し、QRS幅160msでPR間隔は160msであった。完全右脚ブロックと1度房室ブロックの合併と診断した。
臨床経過:
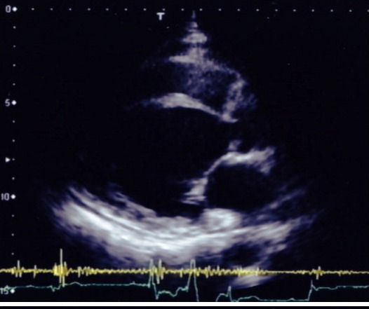
経胸壁心エコー検査(図2)では、傍胸骨左室長軸断面で左室中隔基部の菲薄化を認めた。これらの所見から刺激伝道系の器質的障害があると考えられ、徐脈性不整脈によるアダムストークス発作が生じている可能性を考え精査目的で入院となった。入院後、失神時の心電図モニターで発作性房室ブロックによる約15秒のRR延長(図3)を認めたため緊急一時ペーシングを施行した。採血では炎症反応やACE活性の上昇はなかったが、眼科よりぶどう膜炎の既往の指摘があり、胸部CTでは傍大動脈リンパ節腫脹があった。造影MRIでは左室中隔に遅延造影を認めた。臨床的には心サルコイドーシスであると判断し、プレドニン30mgの導入を開始した。その後も発作性房室ブロックを繰り返し生じており、恒久型ペースメーカーの植え込みを施行した。
図2

図3

解説:
入院時の心電図は完全右脚ブロックと1度房室ブロックの合併であり、電気軸が正常であることから左脚ヘミブロックとは診断できない。3束ブロックや交代性脚ブロックがないことから完全房室ブロックへの進展のリスク予測は困難であったが、意識消失発作を呈していることから発作性ブロックによるアダムストークス発作を生じている可能性があると判断した。また、心エコー検査で心室中隔基部の壁菲薄化と壁運動低下があることから房室伝導にHis束以下の器質的障害が及んでいる可能性があると考えた。入院中に発作性ブロックが生じ意識消失したが、幸いなことにTorsades de pointesなどをきたさず、直ちに一時ペーシングを施行した。このような症例で意識消失の既往があれば緊急入院と一時ペーシングの留置が安全である。本症例では心筋生検は施行されておらず心筋にサルコイド結節の証明ができていないが、臨床的には心サルコイドーシスによる発作性ブロックであると診断し、ステロイドを導入し漸減した。現在15mgの維持療法中である。
