心電図データベース
問題
痩せ型の男性。2日前より前屈姿勢で左背部痛を認めるとのことで近医受診。
左側臥位で呼気時に著明となる心雑音を聴取し座位で消失するとのことで当科紹介となる。
その心電図を図1に示す。
| (出題者)美杉会男山病院 副院長 小糸仁史 |
心電図

解答と解説
解答:
洞性不整脈(呼吸性不整脈)、左側胸部誘導低電位、呼吸性のQRS電位変動
解説:
心電図の所見は若年者にみられる呼吸性洞性不整脈があり、V4-6の左側胸部誘導が異常に低電位となっている。
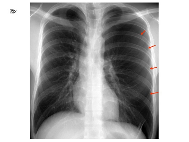
また、呼吸性にQRS電位の変動がみられる。図2にこの症例の胸部レントゲン写真を示す。
矢印で示すように左の気胸がみられる。
胸部レントゲン写真

痩せ型の若年男性で突然胸部の異常症状を認めた場合には自然気胸を鑑別診断の一つに上げる必要がある。
気胸では、左側胸部誘導で電極と心臓との距離が遠くなるためQRS complexの低電位がみられる。
その他にも、呼吸性に電極と心臓の距離が変動しQRS電位の変動がみられる。このように自然気胸が疑われた場合、心電図が診断の一助となることがある。もちろん、詳細な病歴聴取や声音振盪など身体所見をしっかりとることが重要である。左側胸部誘導で低電位となる病態には、気胸の他にも左胸水など電極と心臓の位置が遠ざかる病態が含まれることは言うまでもない。
